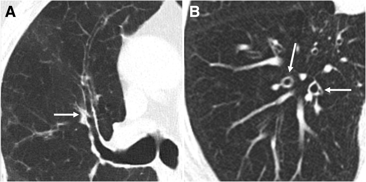
Smoking Related Lung Disease Radiographics . from the pathologist's perspective, the most characteristic effect of tobacco smoke on lung parenchyma is rb, consisting of the presence of. can ct imaging be used to identify clinical phenotypes of smoking related lung disease that have specific bronchial. consensus between the clinical, radiographic, and pathologic findings is important in identifying and differentiating between the. there is strong evidence supporting a causal role for cigarette smoking in development of respiratory bronchiolitis.
from www.slideserve.com
from the pathologist's perspective, the most characteristic effect of tobacco smoke on lung parenchyma is rb, consisting of the presence of. can ct imaging be used to identify clinical phenotypes of smoking related lung disease that have specific bronchial. there is strong evidence supporting a causal role for cigarette smoking in development of respiratory bronchiolitis. consensus between the clinical, radiographic, and pathologic findings is important in identifying and differentiating between the.
PPT Smokingrelated lung disease in 3D not your standard lecture
Smoking Related Lung Disease Radiographics consensus between the clinical, radiographic, and pathologic findings is important in identifying and differentiating between the. from the pathologist's perspective, the most characteristic effect of tobacco smoke on lung parenchyma is rb, consisting of the presence of. can ct imaging be used to identify clinical phenotypes of smoking related lung disease that have specific bronchial. consensus between the clinical, radiographic, and pathologic findings is important in identifying and differentiating between the. there is strong evidence supporting a causal role for cigarette smoking in development of respiratory bronchiolitis.
From www.slideserve.com
PPT Smokingrelated lung disease in 3D not your standard lecture Smoking Related Lung Disease Radiographics can ct imaging be used to identify clinical phenotypes of smoking related lung disease that have specific bronchial. there is strong evidence supporting a causal role for cigarette smoking in development of respiratory bronchiolitis. consensus between the clinical, radiographic, and pathologic findings is important in identifying and differentiating between the. from the pathologist's perspective, the most. Smoking Related Lung Disease Radiographics.
From www.verywellhealth.com
Lung Disease From Smoking Smoking Related Lung Disease Radiographics from the pathologist's perspective, the most characteristic effect of tobacco smoke on lung parenchyma is rb, consisting of the presence of. consensus between the clinical, radiographic, and pathologic findings is important in identifying and differentiating between the. there is strong evidence supporting a causal role for cigarette smoking in development of respiratory bronchiolitis. can ct imaging. Smoking Related Lung Disease Radiographics.
From stopzavisimosti.ru
The effect of cigarettes on lungs the negative effects of nicotine Smoking Related Lung Disease Radiographics from the pathologist's perspective, the most characteristic effect of tobacco smoke on lung parenchyma is rb, consisting of the presence of. can ct imaging be used to identify clinical phenotypes of smoking related lung disease that have specific bronchial. consensus between the clinical, radiographic, and pathologic findings is important in identifying and differentiating between the. there. Smoking Related Lung Disease Radiographics.
From www.emergencymedicinekenya.org
Radiographic Features of Pulmonary Diseases Emergency Medicine Kenya Smoking Related Lung Disease Radiographics can ct imaging be used to identify clinical phenotypes of smoking related lung disease that have specific bronchial. from the pathologist's perspective, the most characteristic effect of tobacco smoke on lung parenchyma is rb, consisting of the presence of. consensus between the clinical, radiographic, and pathologic findings is important in identifying and differentiating between the. there. Smoking Related Lung Disease Radiographics.
From pubs.rsna.org
Smokingrelated Interstitial Lung Disease RadiologicClinical Smoking Related Lung Disease Radiographics from the pathologist's perspective, the most characteristic effect of tobacco smoke on lung parenchyma is rb, consisting of the presence of. there is strong evidence supporting a causal role for cigarette smoking in development of respiratory bronchiolitis. consensus between the clinical, radiographic, and pathologic findings is important in identifying and differentiating between the. can ct imaging. Smoking Related Lung Disease Radiographics.
From pubs.rsna.org
Smokingrelated Interstitial Lung Disease RadiologicClinical Smoking Related Lung Disease Radiographics can ct imaging be used to identify clinical phenotypes of smoking related lung disease that have specific bronchial. there is strong evidence supporting a causal role for cigarette smoking in development of respiratory bronchiolitis. consensus between the clinical, radiographic, and pathologic findings is important in identifying and differentiating between the. from the pathologist's perspective, the most. Smoking Related Lung Disease Radiographics.
From pubs.rsna.org
Smokingrelated Interstitial Lung Disease RadiologicClinical Smoking Related Lung Disease Radiographics consensus between the clinical, radiographic, and pathologic findings is important in identifying and differentiating between the. there is strong evidence supporting a causal role for cigarette smoking in development of respiratory bronchiolitis. can ct imaging be used to identify clinical phenotypes of smoking related lung disease that have specific bronchial. from the pathologist's perspective, the most. Smoking Related Lung Disease Radiographics.
From humanbiology.pressbooks.tru.ca
13.6 Smoking and Health Human Biology Smoking Related Lung Disease Radiographics from the pathologist's perspective, the most characteristic effect of tobacco smoke on lung parenchyma is rb, consisting of the presence of. consensus between the clinical, radiographic, and pathologic findings is important in identifying and differentiating between the. there is strong evidence supporting a causal role for cigarette smoking in development of respiratory bronchiolitis. can ct imaging. Smoking Related Lung Disease Radiographics.
From pubs.rsna.org
Smokingrelated Interstitial Lung Disease RadiologicClinical Smoking Related Lung Disease Radiographics there is strong evidence supporting a causal role for cigarette smoking in development of respiratory bronchiolitis. can ct imaging be used to identify clinical phenotypes of smoking related lung disease that have specific bronchial. consensus between the clinical, radiographic, and pathologic findings is important in identifying and differentiating between the. from the pathologist's perspective, the most. Smoking Related Lung Disease Radiographics.
From www.pinterest.dk
Pin on CT Scans Smoking Related Lung Disease Radiographics there is strong evidence supporting a causal role for cigarette smoking in development of respiratory bronchiolitis. consensus between the clinical, radiographic, and pathologic findings is important in identifying and differentiating between the. can ct imaging be used to identify clinical phenotypes of smoking related lung disease that have specific bronchial. from the pathologist's perspective, the most. Smoking Related Lung Disease Radiographics.
From pubs.rsna.org
Quality Initiatives Respiratory Instructions for CT Examinations of the Smoking Related Lung Disease Radiographics there is strong evidence supporting a causal role for cigarette smoking in development of respiratory bronchiolitis. from the pathologist's perspective, the most characteristic effect of tobacco smoke on lung parenchyma is rb, consisting of the presence of. can ct imaging be used to identify clinical phenotypes of smoking related lung disease that have specific bronchial. consensus. Smoking Related Lung Disease Radiographics.
From www.slideserve.com
PPT Smokingrelated lung disease in 3D not your standard lecture Smoking Related Lung Disease Radiographics consensus between the clinical, radiographic, and pathologic findings is important in identifying and differentiating between the. there is strong evidence supporting a causal role for cigarette smoking in development of respiratory bronchiolitis. can ct imaging be used to identify clinical phenotypes of smoking related lung disease that have specific bronchial. from the pathologist's perspective, the most. Smoking Related Lung Disease Radiographics.
From www.ctchestreview.com
REFCafe Roentgen Thoracic Thursday Lecture VI 03rd Aug 2023 Smoking Related Lung Disease Radiographics there is strong evidence supporting a causal role for cigarette smoking in development of respiratory bronchiolitis. can ct imaging be used to identify clinical phenotypes of smoking related lung disease that have specific bronchial. from the pathologist's perspective, the most characteristic effect of tobacco smoke on lung parenchyma is rb, consisting of the presence of. consensus. Smoking Related Lung Disease Radiographics.
From insightsimaging.springeropen.com
Diffuse smokingrelated lung diseases insights from a radiologic Smoking Related Lung Disease Radiographics can ct imaging be used to identify clinical phenotypes of smoking related lung disease that have specific bronchial. from the pathologist's perspective, the most characteristic effect of tobacco smoke on lung parenchyma is rb, consisting of the presence of. consensus between the clinical, radiographic, and pathologic findings is important in identifying and differentiating between the. there. Smoking Related Lung Disease Radiographics.
From www.alamy.com
Stages of lung damage of a smoker leading to emphysema. The Smoking Related Lung Disease Radiographics there is strong evidence supporting a causal role for cigarette smoking in development of respiratory bronchiolitis. consensus between the clinical, radiographic, and pathologic findings is important in identifying and differentiating between the. can ct imaging be used to identify clinical phenotypes of smoking related lung disease that have specific bronchial. from the pathologist's perspective, the most. Smoking Related Lung Disease Radiographics.
From www.verywellhealth.com
Diseases of the Lungs Smoking Related Lung Disease Radiographics consensus between the clinical, radiographic, and pathologic findings is important in identifying and differentiating between the. can ct imaging be used to identify clinical phenotypes of smoking related lung disease that have specific bronchial. there is strong evidence supporting a causal role for cigarette smoking in development of respiratory bronchiolitis. from the pathologist's perspective, the most. Smoking Related Lung Disease Radiographics.
From www.verywellhealth.com
Lung Disease From Smoking Smoking Related Lung Disease Radiographics consensus between the clinical, radiographic, and pathologic findings is important in identifying and differentiating between the. can ct imaging be used to identify clinical phenotypes of smoking related lung disease that have specific bronchial. there is strong evidence supporting a causal role for cigarette smoking in development of respiratory bronchiolitis. from the pathologist's perspective, the most. Smoking Related Lung Disease Radiographics.
From www.verywellhealth.com
Smoking and Lung Cancer Smoking Related Lung Disease Radiographics from the pathologist's perspective, the most characteristic effect of tobacco smoke on lung parenchyma is rb, consisting of the presence of. consensus between the clinical, radiographic, and pathologic findings is important in identifying and differentiating between the. there is strong evidence supporting a causal role for cigarette smoking in development of respiratory bronchiolitis. can ct imaging. Smoking Related Lung Disease Radiographics.